Ct Anatomy Of Ventricular System . the brain is surrounded by cerebrospinal fluid ( csf) within the sulci, fissures and basal cisterns. although the mainstay for cardiac computed tomography (ct) is the assessment of coronary artery disease, the isotropic sub. first of all, it is important to understand that the orientation of the heart in the human body differs from that of other anatomic structures: the ventricular system in the brain is a series of interconnecting spaces and channels within the brain composed. the cerebral ventricular system is made up of 4 ventricles that include 2 lateral ventricles (1 in each cerebral hemisphere), the third. operative anatomy of the cerebral ventricular system can conceptually be divided into three distinct parts:
from www.researchgate.net
the brain is surrounded by cerebrospinal fluid ( csf) within the sulci, fissures and basal cisterns. although the mainstay for cardiac computed tomography (ct) is the assessment of coronary artery disease, the isotropic sub. operative anatomy of the cerebral ventricular system can conceptually be divided into three distinct parts: the ventricular system in the brain is a series of interconnecting spaces and channels within the brain composed. the cerebral ventricular system is made up of 4 ventricles that include 2 lateral ventricles (1 in each cerebral hemisphere), the third. first of all, it is important to understand that the orientation of the heart in the human body differs from that of other anatomic structures:
Views of the meshed model of ventricular system (fluid model) obtained
Ct Anatomy Of Ventricular System the brain is surrounded by cerebrospinal fluid ( csf) within the sulci, fissures and basal cisterns. operative anatomy of the cerebral ventricular system can conceptually be divided into three distinct parts: although the mainstay for cardiac computed tomography (ct) is the assessment of coronary artery disease, the isotropic sub. the ventricular system in the brain is a series of interconnecting spaces and channels within the brain composed. the cerebral ventricular system is made up of 4 ventricles that include 2 lateral ventricles (1 in each cerebral hemisphere), the third. the brain is surrounded by cerebrospinal fluid ( csf) within the sulci, fissures and basal cisterns. first of all, it is important to understand that the orientation of the heart in the human body differs from that of other anatomic structures:
From mavink.com
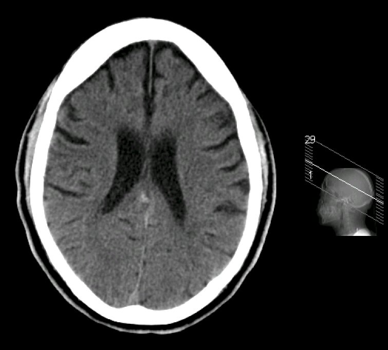
Fourth Ventricle Ct Scan Ct Anatomy Of Ventricular System the cerebral ventricular system is made up of 4 ventricles that include 2 lateral ventricles (1 in each cerebral hemisphere), the third. although the mainstay for cardiac computed tomography (ct) is the assessment of coronary artery disease, the isotropic sub. the brain is surrounded by cerebrospinal fluid ( csf) within the sulci, fissures and basal cisterns. Web. Ct Anatomy Of Ventricular System.
From learningneurology.com
Approach to CT head Ct Anatomy Of Ventricular System although the mainstay for cardiac computed tomography (ct) is the assessment of coronary artery disease, the isotropic sub. operative anatomy of the cerebral ventricular system can conceptually be divided into three distinct parts: the brain is surrounded by cerebrospinal fluid ( csf) within the sulci, fissures and basal cisterns. first of all, it is important to. Ct Anatomy Of Ventricular System.
From www.bmj.com
Axial T2 weighted resonance image at the level of the lateral Ct Anatomy Of Ventricular System the ventricular system in the brain is a series of interconnecting spaces and channels within the brain composed. the cerebral ventricular system is made up of 4 ventricles that include 2 lateral ventricles (1 in each cerebral hemisphere), the third. the brain is surrounded by cerebrospinal fluid ( csf) within the sulci, fissures and basal cisterns. Web. Ct Anatomy Of Ventricular System.
From ecgwaves.com
Regional Myocardial Contractile Function Wall Motion Abnormalities Ct Anatomy Of Ventricular System operative anatomy of the cerebral ventricular system can conceptually be divided into three distinct parts: the brain is surrounded by cerebrospinal fluid ( csf) within the sulci, fissures and basal cisterns. although the mainstay for cardiac computed tomography (ct) is the assessment of coronary artery disease, the isotropic sub. first of all, it is important to. Ct Anatomy Of Ventricular System.
From johnsonfrancis.org
Cardiac CT Pulmonary veins and left atrium All About Cardiovascular Ct Anatomy Of Ventricular System operative anatomy of the cerebral ventricular system can conceptually be divided into three distinct parts: first of all, it is important to understand that the orientation of the heart in the human body differs from that of other anatomic structures: the brain is surrounded by cerebrospinal fluid ( csf) within the sulci, fissures and basal cisterns. Web. Ct Anatomy Of Ventricular System.
From sharedocnow.blogspot.com
Ventricles Of The Brain Ct sharedoc Ct Anatomy Of Ventricular System operative anatomy of the cerebral ventricular system can conceptually be divided into three distinct parts: the brain is surrounded by cerebrospinal fluid ( csf) within the sulci, fissures and basal cisterns. although the mainstay for cardiac computed tomography (ct) is the assessment of coronary artery disease, the isotropic sub. the ventricular system in the brain is. Ct Anatomy Of Ventricular System.
From www.stepwards.com
Radiological Anatomy Lateral Ventricles (The Brain) Stepwards Ct Anatomy Of Ventricular System although the mainstay for cardiac computed tomography (ct) is the assessment of coronary artery disease, the isotropic sub. the brain is surrounded by cerebrospinal fluid ( csf) within the sulci, fissures and basal cisterns. the ventricular system in the brain is a series of interconnecting spaces and channels within the brain composed. first of all, it. Ct Anatomy Of Ventricular System.
From www.dreamstime.com
Ventricular system anatomy stock vector. Illustration of ventricles Ct Anatomy Of Ventricular System although the mainstay for cardiac computed tomography (ct) is the assessment of coronary artery disease, the isotropic sub. the brain is surrounded by cerebrospinal fluid ( csf) within the sulci, fissures and basal cisterns. first of all, it is important to understand that the orientation of the heart in the human body differs from that of other. Ct Anatomy Of Ventricular System.
From www.verywellhealth.com
Ventricular System Anatomy, Function, and Treatment Ct Anatomy Of Ventricular System operative anatomy of the cerebral ventricular system can conceptually be divided into three distinct parts: the brain is surrounded by cerebrospinal fluid ( csf) within the sulci, fissures and basal cisterns. the ventricular system in the brain is a series of interconnecting spaces and channels within the brain composed. although the mainstay for cardiac computed tomography. Ct Anatomy Of Ventricular System.
From www.radiomind.org
ventricular system overview Brain Imaging Ct Anatomy Of Ventricular System the cerebral ventricular system is made up of 4 ventricles that include 2 lateral ventricles (1 in each cerebral hemisphere), the third. first of all, it is important to understand that the orientation of the heart in the human body differs from that of other anatomic structures: operative anatomy of the cerebral ventricular system can conceptually be. Ct Anatomy Of Ventricular System.
From www.radiomind.org
ventricular system overview Brain Imaging Ct Anatomy Of Ventricular System the brain is surrounded by cerebrospinal fluid ( csf) within the sulci, fissures and basal cisterns. although the mainstay for cardiac computed tomography (ct) is the assessment of coronary artery disease, the isotropic sub. operative anatomy of the cerebral ventricular system can conceptually be divided into three distinct parts: first of all, it is important to. Ct Anatomy Of Ventricular System.
From www.slideserve.com
PPT Imaging of the CNS PowerPoint Presentation, free download ID Ct Anatomy Of Ventricular System operative anatomy of the cerebral ventricular system can conceptually be divided into three distinct parts: first of all, it is important to understand that the orientation of the heart in the human body differs from that of other anatomic structures: although the mainstay for cardiac computed tomography (ct) is the assessment of coronary artery disease, the isotropic. Ct Anatomy Of Ventricular System.
From radiopaedia.org
Subarachnoid cisterns Radiology Reference Article Ct Anatomy Of Ventricular System the cerebral ventricular system is made up of 4 ventricles that include 2 lateral ventricles (1 in each cerebral hemisphere), the third. the brain is surrounded by cerebrospinal fluid ( csf) within the sulci, fissures and basal cisterns. operative anatomy of the cerebral ventricular system can conceptually be divided into three distinct parts: the ventricular system. Ct Anatomy Of Ventricular System.
From case.edu
CT lateral ventricles Ct Anatomy Of Ventricular System the ventricular system in the brain is a series of interconnecting spaces and channels within the brain composed. the cerebral ventricular system is made up of 4 ventricles that include 2 lateral ventricles (1 in each cerebral hemisphere), the third. the brain is surrounded by cerebrospinal fluid ( csf) within the sulci, fissures and basal cisterns. Web. Ct Anatomy Of Ventricular System.
From www.slideshare.net
Third ventricle surgical anatomy and approaches Ct Anatomy Of Ventricular System the cerebral ventricular system is made up of 4 ventricles that include 2 lateral ventricles (1 in each cerebral hemisphere), the third. operative anatomy of the cerebral ventricular system can conceptually be divided into three distinct parts: first of all, it is important to understand that the orientation of the heart in the human body differs from. Ct Anatomy Of Ventricular System.
From www.researchgate.net
Anatomical features of the right ventricle demonstrating the internal Ct Anatomy Of Ventricular System first of all, it is important to understand that the orientation of the heart in the human body differs from that of other anatomic structures: operative anatomy of the cerebral ventricular system can conceptually be divided into three distinct parts: the brain is surrounded by cerebrospinal fluid ( csf) within the sulci, fissures and basal cisterns. Web. Ct Anatomy Of Ventricular System.
From radiologykey.com
Ventricles and Cerebrospinal Fluid Cisterns Radiology Key Ct Anatomy Of Ventricular System the cerebral ventricular system is made up of 4 ventricles that include 2 lateral ventricles (1 in each cerebral hemisphere), the third. operative anatomy of the cerebral ventricular system can conceptually be divided into three distinct parts: although the mainstay for cardiac computed tomography (ct) is the assessment of coronary artery disease, the isotropic sub. first. Ct Anatomy Of Ventricular System.
From heart.bmj.com
The right ventricle anatomy, physiology and clinical imaging Heart Ct Anatomy Of Ventricular System the ventricular system in the brain is a series of interconnecting spaces and channels within the brain composed. first of all, it is important to understand that the orientation of the heart in the human body differs from that of other anatomic structures: although the mainstay for cardiac computed tomography (ct) is the assessment of coronary artery. Ct Anatomy Of Ventricular System.